Skip to main content Deutsch

Language Network Reorganization Following Childhood Stroke

Developmental Cognitive Neuroscience Lab

PI: Lisa Bartha-Doering

Project nr. 15356

Duration 2013-2016

The characterization of neural reorganization and functional recovery of language are essential for the understanding of cerebral plasticity and dynamic processes which occur following brain damage. Hereby, children with focal brain lesions acquired during language development provide an important window on capacity for neural plasticity.

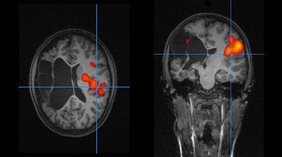
The present project focuses on the organization and localization of language processing in children with focal brain lesions acquired during language development and aims at investigating the relationship between behavioral language abilities and cerebral organization of the semantic language network. To achieve this goal, children with ischemic stroke acquired during development of language and healthy controls are included in the study. Behavioral language abilities are tested with a comprehensive neurolinguistic test battery, and the neural representation of language processing is measured with a functional magnetic resonance imaging paradigm.

 This project provides information about functional plasticity in the developing brain. It furthermore increases our understanding of the relationship between brain and behavior. In addition, it helps to clarify whether intra- and/or interhemispheric language reorganization is advantageous or unfavorable for language functioning. The information provided by this project benefits parents, physicians, and therapists in generating appropriate expectations and realistic goals. Moreover, informations from the present project can lead to development and implementation of appropriate interventions for children suffering from focal brain lesions. 

 

Publications within this project:

Kollndorfer K, Fischmeister FPhS, Novak A, Seidl R, Kasprian G, Bartha-Doering L (2025) The impact of lesion size on executive function performance in children and adolescents after pediatric stroke. European Journal of Paediatric Neurology 54:193-199. DOI: 10.1016/j.ejpn.2025.02.006

Mandl S, Novak A, Kollndorfer K, Seidl R, Bartha-Doering L (2023) Visuospatial processing skills following unilateral arterial ischemic stroke in childhood. European Journal of Paediatric Neurology in press. DOI: 10.1016/j.ejpn.2023.01.008

Bartha-Doering L, Gleiss A, Knaus S, Schmook MT, Seidl R (2020) Influence of socioeconomic status on cognitive outcome after childhood arterial ischemic stroke. Developmental Medicine and Child Neurology, 63(4):465-471. DOI: 10.1111/dmcn.14779.

Bartha-Doering L, Novak A, Kollndorfer K, Schuler AL, Kasprian G, Langs G, Schwartz E, Fischmeister FPS, Prayer D, Seidl R (2019) Atypical language representation is unfavorable for language abilities following childhood stroke. European Journal of Paediatric Neurology 23: 102-116. DOI: 10.1016/j.ejpn.2018.09.007

Licandro R, Nenning KH, Schwartz E, Kollndorfer K, Bartha-Doering L, Langs G (2016) Changing Functional Connectivity in the Child's Developing Brain Affected by Ischaemic Stroke. Proceedings of MICCAI 2016.